歯を残す専門ドクター
による成功率の高い
精密根管治療
新潟歯科・矯正歯科 HIDENT
〒950-2011 新潟県新潟市西区小針上山9-34-5
SPECIAL & MAINTENANCE OFFICE
こんなお悩みは
ございませんか?
- 仮歯が何回も取れて治療が進まない
- 痛い歯だけでなく口の中を全体的に治したい
- 噛むと痛い・歯ぐきにおできがある
- 根管治療を続けているがなかなか治らない
- 他院で抜歯と言われたけど残したい
お困りの方は、
当院に
お任せください
- 根管治療
専門
歯科医院 - 最先端の
デジタル治療 - 正確な診査
診断
01
FEATURE
根管治療の成功率を引き上げる当院の取り組み
正確な診断・精密な治療で
最適な治療プランをご提案
point01
マイクロスコープを用いた
成功率の高い精密根管治療
当院は根管治療の成功率を高めるために必須のマイクロスコープを設置しております。
繊細な操作が求められる根管治療では肉眼での処置とマイクロスコープを用いた治療ではその後の病変発現率(膿が溜まる割合)が大きく異なってきます。
point02
歯科保存治療専門医による
診査・診断
適切な診査診断は適切な治療を行うためには必須です。
適切な治療ができなければ、治療を繰り返しする可能性があり、結果として歯を失う可能性もございます。
当院の精密根管治療を担当するドクターは歯科保存治療専門医の資格を持ち、歯を残すため診査診断はより重要視しております。
point03
徹底的に菌を排除する
欧米式精密根管治療
唾液の中には細菌が無数に存在しており、根管治療における成功率を下げる要因になります。つまり無菌状態で治療を行い感染を防ぐことが重要です。
当院の根管治療では無菌状態で治療が行えるラバーダム防湿を必ず行い、根管治療時の感染を防ぎます。
point04
様々な治療に対応できる
チーム医療体制
当院では精密根管治療に限らず、補綴やインプラントなどの様々な専門治療に対応できるチーム医療体制をご用意しております。また、まつみだい歯科診療所と連携し、治療後のメインテナンスまでしっかりとサポートさせていただきます。
精密根管治療で患者様の
大切な歯を守ります
02
DOCTOR
歯を残す専門ドクターによる精密根管治療
歯科保存治療専門医 / 院長
大墨 竜也Tatsuya Osumi
根管治療の専門ドクターによる
成功率の高い精密根管治療
大学病院にて、顕微鏡(マイクロスコープ)を用いた根管治療やむし歯治療を行なって参りました。 新潟ではなかなか根の治療を専門的に行なっている歯科医師に巡り会うことは少ないかと思います。神経を残したり、再治療のリスクを減らし、可能な限りご自身の歯を末永く使っていただけるよう、 歯を残すお手伝いをさせていただければと思います。
経歴
- 2009年3月
- 新潟大学歯学部 歯学科 卒業
- 2014年3月
- 新潟大学大学院 医歯学総合研究科
博士課程 修了
- 2014年4月
- 新潟大学医歯学総合病院
歯の診療科 医員
- 2014年10月
- 立川メディカルセンター
歯科口腔外科 医員
- 2015年4月
- 新潟大学医歯学総合病院
歯の診療科 医員
- 2016年4月
- 新潟大学大学院医歯学総合研究科
う蝕学分野 助教
- 2021年4月
- 医療法人社団明理会
まつみだい歯科診療所 勤務
- 2022年5月
- 新潟歯科・矯正歯科 HIDENT
院長就任
資格・所属学会
- 日本歯科保存学会(歯科保存治療専門医)
- 日本歯内療法学会
- 日本顕微鏡歯科学会
- 歯科医師臨床研修指導医
- Leading Dental Meeting Niigata
参加講習会
- 歯科医師臨床研修指導歯科医講習会 修了
- 手術用顕微鏡使用による
- マイクロエンドセミナー実習会 修了
新潟エリアで精密根管治療なら
HIDENT(ハイデント)
へご相談ください
| 診療時間 | 月 | 火 | 水 | 木 | 金 | 土 | 日 |
|---|---|---|---|---|---|---|---|
| 9:00-18:00 | ● | ● | △ | ● | ● | ● | ━ |
月曜/火曜/木曜/金曜/土曜:9:00〜18:00
休診日:水曜・日曜・祝日
△:祝日のある週は、水曜日も診療いたします。
(祝日が水曜の場合・年末年始・GW等はこの限りではありません)
ご予約・ご相談はお気軽に!
- HIDENTでは、18歳以上の患者様を診療いたします。
- 18歳以下の患者様は
まつみだい歯科診療所をご案内しております。
03
MICRO-ENDODONTICS
顕微鏡を使った精密根管治療
根管治療の流れ
感染された根管内の細菌感染を取り除き、
一つ一つの管を洗浄して
薬液で消毒して蓋をします。
欧米式の“見える”
根管治療
当院では、マイクロスコープと
歯科用コーンビームCT、
Ni-Tiロータリーファイルの使用により、
治療の確実性と効率性の高い治療が
受けられます。
根管治療の見える化
マイクロスコープ
歯科用の手術用実体顕微鏡により、これまで手探りであった根管治療をより精密に行うことが可能となりました。
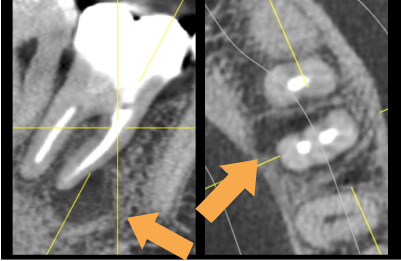
歯科用コーンビームCT
歯科用コーンビームCTは比較的少ない被曝量で3次元的に歯根の状態、骨の中の状態を把握することができるため根管治療を行う際に非常に多くの情報が得られます。
効率的に根の中の感染源を除去
Ni-Tiロータリーファイル
細長い金属の歯科治療器具で、歯の根管内に挿入して感染した組織や神経を取り除くために使用します。
04
CASE
精密根管治療症例紹介
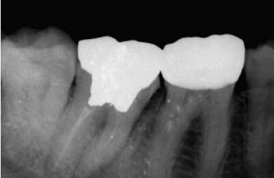
精密根管治療症例
-
術前
-
治療中
矢印部が処置されていない
-
術後
-
術前
矢印部に大きな骨吸収像
-
治療中
根管を清掃した後
-
術後
骨の再生が見られる
-
術前
-
術前
矢印部に大きな骨吸収像
-
治療中
矢印部が処置されていない
-
治療中
根管を清掃した後
-
術後
-
術後
骨の再生が見られる
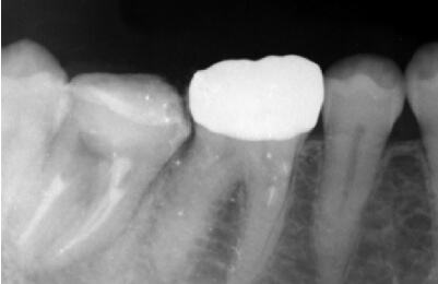
| 主訴 | 噛むと違和感がある。 レントゲンで根の先に黒い影を指摘された。 |
|---|---|
| 治療期間 | 根管治療3回 補綴治療3回 |
| 治療費 |
(ファイバーコア・ジルコニアクラウン) |
| 治療内容 |
通法の根管治療を行いました。ラバーダム防湿、 マイクロスコープ下で未処置であった根管を発見し処置。 |
| 治療のリスク |
治療直後は反応性に一時的な腫れや痛みが出る可能性があります。 根管治療で改善が見られない場合は外科的根管治療が必要になる場合があります。 |
歯髄温存療法症例
-
術前
-
治療中
顕微鏡下でむし歯を除去
-
術後
レジン充鎮
-
術前
矢印部に深いむし歯
-
治療中
封鎖性が良く、
組織の再生を促す
MTAセメントを充填 -
術後
術後2年経過良好
-
術前
-
術前
矢印部に深いむし歯
-
治療中
顕微鏡下でむし歯を除去
-
治療中
封鎖性が良く、
組織の再生を促す
MTAセメントを充填
-
術後
レジン充鎮
-
術後
術後2年経過良好
| 主訴 | 冷たいものがしみる。 |
|---|---|
| 治療期間 | 歯髄温存療法1回 ダイレクトボンディング1回 |
| 治療費 |
|
| 治療内容 | マイクロスコープ下でむし歯の除去と、断髄(感染した死神経の一部を除去)を行い、歯髄保護材料(MTA)で封鎖して神経を保存。精密な修復治療により、歯の形態を回復した。 |
| 治療のリスク | 歯髄温存治療が奏効せず、歯髄炎または歯髄壊死になった場合は根管治療が必要になります。 |
外科的歯内療法症例
-
術前
-
治療中
根尖を切除後、逆根管形成
-
術後
-
術前
矢印部に骨吸収像と
根充材の逸脱 -
治療中
封鎖性が良く、
組織の再生を促す
MTAセメントを充填 -
術後
術後6ヶ月
骨の再生がみられる
-
術前
-
術前
矢印部に骨吸収像と
根充材の逸脱
-
治療中
根尖を切除後、逆根管形成
-
治療中
封鎖性が良く、
組織の再生を促す
MTAセメントを充填
-
術後
-
術後
術後6ヶ月
骨の再生がみられる
| 主訴 | 根の先にでき物があって、押すと痛む。 |
|---|---|
| 治療期間 | 歯根端切除術 1回 |
| 治療費 |
|
| 治療内容 | 患者様の補綴物を外したくないという希望があり、メタルコアが深く、除去のリスクの観点から外科的歯内療法を第一選択としました。前歯2本分切開剥離後、根尖3mmを切除し、逆根管形成後、逆根管充填を行いました。術後半年で骨の回復を認めます。 |
| 治療のリスク | 治療直後は反応性に一時的な腫れや痛みが出る可能性があります。補綴物と歯肉の関係性によって、歯肉の後退が見られる場合があります。 |
05
SECOND OPINION
セカンドオピニオンのご案内
当院では、セカンドオピニオンを
受け付けています
他院で抜歯と診断されたとしても、専門ドクターの元であれば抜かずに残すことができるかもしれません。新潟歯科・矯正歯科 HIDENTでは歯科保存治療専門医が正確な診断・精密な治療で歯を残すことを目指します。
患者様が治療の必要性を
理解するために
セカンドオピニオンにより複数の歯科医師の意見を聞くことで専門家の知識や経験を取り入れることができ、病気に対する理解が深まります。
異なる専門家の知識と経験を結集することで、より正確で包括的な診断が得られる可能性が高まります。
06
TEAM
根管治療を成功に導くチーム医療体制
高度な専門知識と
連携した医療サービス
新潟歯科・矯正歯科 HIDENTの根管治療を成功に導くチーム医療体制は、精密根管治療にとどまらず、補綴やインプラントなど様々な専門治療にも充実した対応が可能です。
当院では、経験豊富な医療スタッフがそれぞれの分野で高いスキルを持ち、患者様の多様なニーズに対応できるよう努めています。
まつみだい歯科診療所との連携により、治療後のメインテナンスもお任せください。患者様の口腔健康をトータルにサポートし、長期にわたり安心してお口の健康を維持できるよう配慮しています。
我々のチームは、患者様一人ひとりに適した総合的な治療アプローチを提供し、その後の経過も丁寧にフォローアップいたします。
他院で抜歯と提案された
患者様へ
当院では、様々な治療の選択肢を患者様と一緒に考えご提案いたします。
- 歯の根の先に膿が溜まる根尖病変
- 精密根管治療で歯を残す
- 根管治療でも痛み・腫れが治らない
- 歯根端切除術で歯を残す
- むし歯が進行し、歯質が少ない
- エクストルージョン
クラウンレングスニングで歯を残す
- 重度歯周病で歯が揺れ始めている
- 歯周組織再生療法で歯を残す
ご相談はこちら
精密根管治療で患者様の
大切な歯を守ります
07
FAQ
精密根管治療でよくある質問
保険と保険外(自費診療)の根管治療は何か違うのですか?
- 使用できる器具や材料が違います。開く
-
保険で認可されていない材料も使用できるので、より精密で正確な治療を行えます。また、マイクロスコープ(顕微鏡)を使用することで、肉眼では発見できないような、汚れやひび割れが発見でき成功率を高めることが出来ます。さらに、当院では私費の場合専門医が行いますので、成功率が格段に高くなります。
通常の根管治療では、1回につき約30分程度の治療を平均4~5回通院して行い、難しい場合だとそれ以上来院が必要になる場合があります。
精密根管治療の場合では、細かく治療を進めるため、1回の治療は約60分~90分と長く、通院回数は1~3回と比較的少なくなります。
※根の治療は保険診療(3割負担の場合)で、約3000円~4000円になります。
一般歯科の根管治療と専門医の根管治療では何が違うのでしょうか?
- 根管治療専門医が行う治療の成功率は約80~90%と言われています。開く
-
日本での一般的な歯科医院で行われた根管治療の成功率は約40%程度(有病率として報告)と言われています。一方欧米の根管治療専門医が行う治療は約80~90%と言われています。根っこの穴(根管)はとても複雑な形をしています。メインの根管(主根管)の他にマイクロスコープを使用してもわかりにくいことが多い横道(側枝、根尖分枝)も多くあります。また上の奥歯では入り口の発見が難しい第4根管(MB2)などもあります。
治療にはどれくらい期間がかかるのでしょうか?
- おおよそ2回~4回程度かかかります。開く
-
症例によって変わってくるので一概に何回とは言えませんが、おおよそ2回~4回程度かかかります。治療のため1〜2週間に1度来院いただければおよそ1〜2カ月で治療は完了します。
根の中に金属が入っていると言われました。大丈夫なのでしょうか?
- 人体に及ぼす影響は、ほとんどありません。開く
-
根管は曲がっていたり、枝分かれしているため、治療用の器具が途中で折れてしまうことがあります。根管治療に使用する器具は通常、ステンレス製かニッケルチタン製のものであり、溶けたり、腐蝕したりすることはありませんので人体に及ぼす影響は、ほとんどありません。
もし、金属が中で折れてしまった場合、除去しようと試みますが、根に与える影響が大きいと考えられた場合は、そのまま治療を終える事もあります。
歯肉を切って外科的に処置すると言われました。どのように行うのですか?
- 歯肉を切開して根の先から治療を行います。開く
-
歯に大きな土台が入っていると、それを除去する際に、根にヒビが入ったり、折れたりすることがあります。また、根の形態が複雑でなかなか治らず、歯の頭から治療しても困難な場合があります。そういった場合、歯根端切除術という、歯肉を切開して根の先から治療を行います。
今まで痛くなかった神経が治療をしたら痛くなりました。大丈夫でしょうか?
- 痛みは生体の正常な治癒反応です。開く
-
どのような治療においても、一時的に刺激が加わります。とくに根管治療においては歯の内部を刺激しますので、歯の歯根膜などに一過性の炎症反応がおきます。そのため痛みがでる可能性があります。ただしこれは生体の正常な治癒反応ですので3日から1週間程度で落ち着いてきます。
神経をとった歯は被せる必要がありますか?
- 歯の神経をとることが歯が脆くなる原因とは言い切れません。開く
-
歯の神経を取ることが、直接的に歯を脆くしたり、枯れ木のようになる原因とは限りません。
神経がないことで痛みや違和感を感じにくくなること、歯を削ることで歯の壁が薄くなってしまうことによって、破折のリスクが高まる可能性があります。
根の治療の目的は、感染してしまった細菌を減少させること、今後新たな細菌感染から歯を守る、という2点になります。簡単に脱離したり、適合が悪く隙間から細菌が入り込むことのない正しい被せ物や詰め物を作る必要があります。
前歯など噛む力がかかりにくい歯などは、被せる重要度が低いと言えます。レジンなど接着性の充填物で終え、歯質をできるだけ温存する方が適している場合もあります。
08
PRICE
料金・保証について(被せ物等含む)
料金表
精密根管治療
| 前歯 | ¥77,000 |
|---|---|
| 小臼歯 | ¥99,000 |
| 大臼歯 | ¥132,000 |
| 穿孔封鎖 MTA | ¥11,000 |
歯髄温存療法
| MTA | ¥55,000 |
|---|
審美歯科
| ダイレクト ボンディング |
¥22,000~55,000 |
|---|---|
| ラミネートベニア | ¥99,000 |
| オールセラミック インレー (詰め物) |
¥55,000 |
| オールジルコニア インレー (詰め物) |
¥88,000 |
| オールセラミック クラウン (被せ物) |
¥99,000 |
| ジルコニアセラミック クラウン(被せ物) |
¥143,000 |
| オールジルコニア クラウン (被せ物) |
¥115,500 |
| ゴールドクラウン (被せ物) |
¥77,000 |
※料金はすべて税込の表記となります
詰め物・被せ物の
保証について
保証期間について
●詰め物・被せ物については5年保証で提供させていただいております。
第三者保証機関(ガイドデント)による保証制度で、認定歯科医療機関であれば保証を受けることができます。
保証対象について
1.所定の定期メインテナンスを実施し、口腔内において正常に機能していた状態で保証部位が脱落または破折したとき
※4か月を越えて、メンテナンスをお受けいただかなかった場合は保証適用外となりますので予めご了承ください。
2.偶然な事故により保証部位が脱落または破折したとき
精密根管治療で患者様の
大切な歯を守ります
09
FOR DENTISTS
歯科医師の方へ
根管治療のご依頼・
ご紹介をお受けしています。
- 自費の補綴を希望されているが、根尖病変があり、治療が難航しそうである。
- 補綴処置後間も無く、症状が出てしまった。
- 治療が長引いてしまっているが、良くならない
- むし歯が深そうで、歯髄保存を試みて欲しい
- 歯根破折を疑っているが、確定診断へ至らない
- 根管が見つからない、穿通しない
- 十分に根管治療ができている筈なのに痛みが取れない
- 外科的根管治療(歯根端切除術や意図的再植術、歯牙移植など)が必要
- 根未完成歯や根尖が開いていて治療が難しい
- 根管治療は専門のドクターに任せて安心して補綴がしたい
※情報を記載した紹介状を患者様にお渡しいただき持参して頂くか、
事前に郵送やデータで 送って頂けると、診察がスムーズになります。
※ご紹介いただいた部位、内容に限った治療を行います。
治療後の管理や補綴処置については 戻って頂きますので、安心してご紹介下さい。
新潟エリアで精密根管治療なら
HIDENT(ハイデント)
へご相談ください
| 診療時間 | 月 | 火 | 水 | 木 | 金 | 土 | 日 |
|---|---|---|---|---|---|---|---|
| 9:00-18:00 | ● | ● | △ | ● | ● | ● | ━ |
休診日:水曜・日曜・祝日
△:祝日のある週は、水曜日も診療いたします。
(祝日が水曜の場合・年末年始・GW等はこの限りではありません)
ご予約・ご相談はお気軽に
医療DX推進体制整備について
医療DX推進体制整備について
以下の通り対応を行っています。
- オンライン請求を行っています。
- オンライン資格確認を行う体制を有しています。
- 電子資格確認をして取得した診療情報を、診察室で閲覧又は活用できる体制を有しています。
- 電子処方箋を発行する体制を導入予定です。
- 電子カルテ情報共有サービスを活用できる体制については当該サービスの対応待ちです。
- マイナンバーカードの健康保険証利用の使用について、お声掛け・ポスター掲示を行っています。
- 医療DX推進の体制に関する事項及び質の高い診療を実施するための十分な情報を取得し、及び活用して診療を行うことについて、当該保険医療機関の見やすい場所及びホームページ等に掲示しています。



